InsightNexus.

Your Trusted Source for News, Information, and Insights

politics

In neuritic leprosy which nerve is thickened?

By David Perry

Ulnar nerves just above the elbow (the ulnar nerve is the one most commonly thickened) Dorsal cutaneous branches of the ulnar nerve at the wrist. Median and superficial radial nerves.

Which nerve is thickened in leprosy?

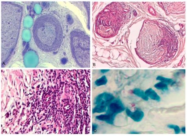
Leprosy is a common cause of neuropathy. Thickened peripheral nerves are one of the cardinal features. Ulnar and common peroneal nerves are the most frequent thickened nerves.

Which nerve is affected in leprosy?

There is clinical evidence of cranial nerve involvement in 18% of patients with leprosy. The fifth and seventh cranial nerves are the most affected. Out of 100 leprosy patients in a consecutive series 22 had cranial nerve involvement.

What is neuritic leprosy?

The original definition of pure neuritic leprosy as approved by IAL in the five-type classification of leprosy of 1982 is as follows: “In this type of leprosy, there are no skin lesions. Larger nerve trunks or their branches are enlarged. There is a sensory loss in the areas of distribution of the nerves.

What causes nerve thickening?

Causes of thickening may be remembered by the mnemonic HAGALO: Hypertrophic neuropathy - a rare autosomal dominant condition. Acromegaly. Guillain Barre - if relapsing and remitting disease.

Demo-11: Nerve examination in a Leprosy patient

44 related questions found

What is a thickened nerve?

Thickening of peripheral nerve trunk is one of the cardinal features of leprosy. Localised tumours arising from sheaths of peripheral nerves causing nerve thickening can sometimes be seen in neurofibromatosis.

What does nerve thickening mean?

Thickening of nerves is compatible with changes in the myelin sheath structure, whereas lowered AD values suggest axonal dysfunction.

What is lepromatous leprosy?

Lepromatous leprosy is a form of leprosy characterized by pale macules in the skin. It results from the failure of Th1 cell activation which is necessary to eradicate the mycobacteria (Th1 response is required to activate macrophages that engulf and contain the disease).

What is Neutris?

Neuritis is a medical term meaning inflammation in the peripheral nerves (nerves outside the central nervous system are called peripheral).

What is Lepromin test?

A lepromin skin test is used to determine the type of leprosy a person has contracted. The lepromin skin test is also called the leprosy skin test. Leprosy is a long-term (chronic) condition caused by the bacteria Mycobacterium leprae.

Where are the peripheral nerves?

Peripheral nerves reside outside your brain and spinal cord. They relay information between your brain and the rest of your body. The peripheral nervous system is divided into two main parts: Autonomic nervous system (ANS): Controls involuntary bodily functions and regulates glands.

What is peripheral nerve involvement?

The peripheral nerves of the arm communicate neural signals with sensitive end organs in the skin of the hand. These end organs tell the body what it "feels" . The neural signals make the muscles of the arm and hand operate the elbow, wrist and fingers.

What are the three types of leprosy?

The first system recognizes three types of leprosy: tuberculoid, lepromatous, and borderline. A person's immune response to the disease determines which of these types of leprosy they have: In tuberculoid leprosy, the immune response is good.

What is the difference between Paucibacillary and Multibacillary leprosy?

Paucibacillary patients are those who are skin smear negative and show no evidence of more advanced disease on biopsy. Multibacillary patients are those who are skin smear positive and/or have a biopsy indicating more advanced disease.

Is ulnar nerve palpable?

It should be remembered that the ulnar nerve is palpable in normal persons. Therefore a nerve should not be considered thickened only because it is palpable . Very rarely the course of the nerve may be found abnormal and it may be found in front of the medical epicondyle.

What are the cardinal signs of leprosy?

The cardinal signs of leprosy include hypoesthesia, skin lesions, and peripheral neuropathy. The first physical signs of leprosy are usually cutaneous. The subtype of leprosy often determines the degree of skin involvement.

Why do nerves get swollen?

It is usually the result of injury or infection. When swelling causes pressure on a nerve, the myelin sheath covering the nerve may be damaged. The nerve may also become entrapped or compressed. Nerve ischemia (lack of oxygen to the nerve) can also cause damage.

Can irritated nerves cause swelling?

If nerve compression lasts a long time, a protective barrier around the nerve may break down. Fluid may build up, which may cause: Swelling. Extra pressure.

What is neuritis and neuralgia?

Neuralgia is type of nerve pain usually caused by inflammation, injury, or infection (neuritis) or by damage, degeneration, or dysfunction of the nerves (neuropathy). This pain can be experienced as an acute bout of burning, stabbing, or tingling sensations in varying degrees of intensity across a nerve(s) in the body.

What is the difference between lepromatous and tuberculoid leprosy?

Leprosy has traditionally been classified into two major types, tuberculoid and lepromatous. Patients with tuberculoid leprosy have limited disease and relatively few bacteria in the skin and nerves, while lepromatous patients have widespread disease and large numbers of bacteria.

What is Dimorphous leprosy?

Dimorphous leprosy –> borderline leprosy. a form of leprosy that is very unstable immunologically; the cutaneous nerves frequently present bacilli, but the lepromin test is usually negative; cutaneous lesions are comprised of flat bands or plaques. Synonym: dimorphous leprosy.

What is borderline Tuberculoid leprosy?

Borderline tuberculoid leprosy is characterized by skin lesions similar to those of tuberculoid leprosy, but they are more numerous and may be accompanied by satellite lesions around large lesions. In borderline leprosy, skin lesions are numerous but remain asymmetrical.

What are the types of nerve damage?

Most neuropathies affect all three types of nerve fibers to varying degrees; others primarily affect one or two types. Doctors use terms such as predominantly motor neuropathy, predominantly sensory neuropathy, sensory-motor neuropathy, or autonomic neuropathy to describe different conditions.

What is leg nerve damage?

Nerves in the leg may become inflamed, compressed, or degenerated as a result of mechanical or chemical irritants. Nerves may also become damaged due to associated conditions such as diabetes or nutritional deficiencies. Depending on the cause of nerve damage, the specific leg symptoms may differ.

What are symptoms of nerve damage?

The signs of nerve damage
  • Numbness or tingling in the hands and feet.
  • Feeling like you're wearing a tight glove or sock.
  • Muscle weakness, especially in your arms or legs.
  • Regularly dropping objects that you're holding.
  • Sharp pains in your hands, arms, legs, or feet.
  • A buzzing sensation that feels like a mild electrical shock.

Related Archive

More in politics