InsightNexus.

Your Trusted Source for News, Information, and Insights

business

Will plant thorn synovitis go away?

By Emily Beck

What is the prognosis of plant thorn arthritis? Once a synovectomy for plant thorn arthritis has been performed, the joint tends to heal well without residual problems. The sooner the synovectomy is performed, the better the outcome as chronic joint inflammation can risk damage to cartilage of the joint.

How do you treat a thorn infection?

Skin infections from this type of fungus are treated with antifungals, such as oral itraconazole (Sporanox) and supersaturated potassium iodide. These are taken for several months until the infection has fully cleared up. Severe sporotrichosis may need intravenous (IV) treatments, such as amphotericin B.

How common is plant thorn arthritis?

Plant thorn synovitis, also known as plant thorn arthritis, is a rare and commonly overlooked cause of arthritic disease. This disease is attributed to a granulomatous inflammatory response to retained plant thorn fragments following a puncturing plant thorn injury.

How do you treat synovitis?

Treatment for synovitis includes rest, ice, immobilization and oral nonsteroidal anti-inflammatory drugs (NSAIDs), such as ibuprofen, and may include steroid injections into the joint. Surgery may be indicated in longstanding cases.

Can you get sepsis from a thorn?

Leave a thorn or splinter of wood in your body for a few months, and it's likely to disintegrate and further stimulate your body's immune response. And any infection left untreated can spread and cause septicaemia or blood poisoning.

Plant Thorn Arthritis (Plant Thorn Synovitis): What is the treatment for plant thorn arthritis?

25 related questions found

What happens if you get pricked by a thorn?

Small objects (splinters) of wood, metal, glass, or plastic can become embedded in the skin. Thorns from roses and other plants also can prick or become stuck in the skin. Splinters can cause an infection if they are not removed. Your doctor probably removed the object and cleaned the skin well.

What are the 6 signs of sepsis?

Sepsis Symptoms
  • Fever and chills.
  • Very low body temperature.
  • Peeing less than usual.
  • Fast heartbeat.
  • Nausea and vomiting.
  • Diarrhea.
  • Fatigue or weakness.
  • Blotchy or discolored skin.

Does synovitis ever go away?

Synovitis can go away on its own, but if the symptoms linger, treatment may be necessary. Treatment for synovitis depends on the underlying cause. In most cases, treatments are geared to decrease inflammation, lessen swelling, and manage pain.

How long can synovitis last?

Although symptoms can start suddenly and alarm caregivers, toxic synovitis typically clears up within 1–2 weeks. Some cases last as long as 5 weeks. It does not usually cause any long-term complications. Toxic synovitis primarily affects children, and it may also occur in adults.

How long does it take for synovitis to heal?

Toxic synovitis usually goes away within a week or two, but sometimes can last for 4-5 weeks. While most kids have no long-term effects from it, some can develop toxic synovitis multiple times during childhood.

How do you treat a Hawthorn puncture?

How to Treat a Puncture Wound When You're Hiking. Once the splinter is out, clean the wound thoroughly with soap and water or a saline wound wash and apply antibiotics and a sterile adhesive bandage to prevent infection.

How do you know if you have plant thorn arthritis?

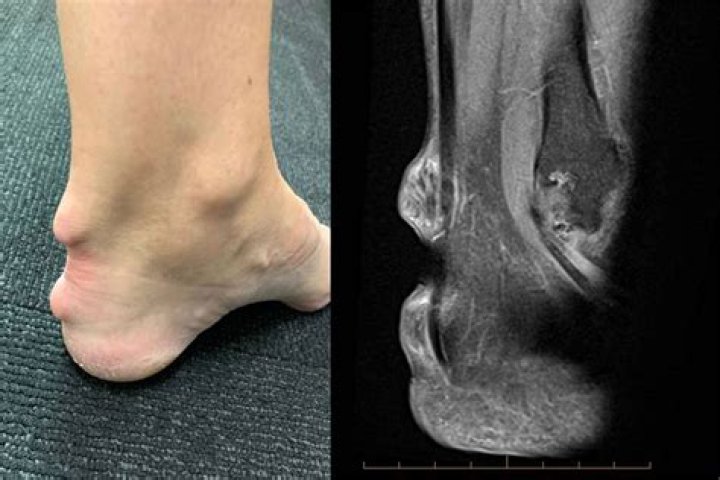
The diagnosis of plant thorn arthritis is made by detection of a piece of thorn within the joint by imaging tests or surgical removal and identification of the thorn fragments. The involved joint may be swollen, painful, reddened, stiff, and may have a reduced range of motion.

What is inflammatory synovitis?

Synovitis (or synovial inflammation) is when the synovium of a joint becomes inflamed (swollen). The synovium, which is also sometimes called the stratum synoviale or synovial stratum, is connective tissue that lines the inside of the joint capsule.

Will a thorn come out by itself?

Tiny, pain-free slivers near the skin surface can be left in. They will slowly work their way out with normal shedding of the skin. Sometimes, the body also will reject them by forming a little pimple. This will drain on its own.

Can you get an infection from a thorn?

Causes of Sporotrichosis

Sporotrichosis usually begins when mold spores are forced under the skin by a rose thorn or sharp stick, although the infection can begin in apparently unbroken skin after contact with hay or moss carrying the mold. More rarely, cats or armadillos can transmit the disease.

Is it normal for a puncture wound to swell?

A puncture wound is a hole in the skin made by a sharp, pointed object. The area may be bruised or swollen. You may have bleeding, pain, or trouble moving the affected area.

How do you treat synovitis at home?

Transient synovitis of the hip treatment

Rest at home is the most important way to help your child's hip get better. Your child may need to take a nonsteroidal anti-inflammatory medicine, such as ibuprofen (brand names: Advil, Motrin), to reduce the swelling and inflammation around the hip joint.

Is synovitis an autoimmune disease?

It is an inherited auto-inflammatory disorder that may also be considered an autoimmune disease. Chronic synovitis – a general term describing diseases involving joint inflammation in children.

Is synovitis an infection?

Transient synovitis is an inflammation in the hip joint that causes pain, limp and sometimes refusal to bear weight. This occurs in pre-pubescent children and is the most common cause of hip pain. It occurs when a viral infection, such as an upper respiratory infection, moves to and settles in the hip joint.

How can I increase synovial fluid in my neck?

Foods That Regenerate Synovial Fluid
  1. Dark, leafy vegetables.
  2. Foods rich in omega-3 fatty acids like salmon, mackerel, and flaxseeds.
  3. Anti-inflammatory foods rich in compounds like curcumin (found in turmeric)
  4. Foods high in antioxidants like onions, garlic, green tea, and berries.
  5. Nuts and seeds.

How do you reduce synovial fluid?

  1. Physical therapy.
  2. Acupuncture.
  3. Knee taping.
  4. Joint aspiration – removal of excess synovial fluid (decrease swelling and pain)
  5. Moderate walks, swimming, cycling, yoga, Tai chi are the exercises recommended in general.

Does synovial fluid replace itself?

At first the amount of synovial fluid is restored at the expense of its liquid part, percentage of common protein and its fractions increase, and viscosity of synovial fluid decreases. After two days, a gradual restoration of all physiological indices mentioned occurs. By the fourth day they are completely restored.

What are the red flags for sepsis?

Severe breathlessness or sleepiness. It feels like you're going to die or pass out. Skin mottled or discoloured. An extremely high or a very low temperature; repeated vomiting; seizures; and a rash which doesn't fade when you press a glass against it are also possible 'red flags'.

What does sepsis look like on the skin?

People with sepsis often develop a hemorrhagic rash—a cluster of tiny blood spots that look like pinpricks in the skin. If untreated, these gradually get bigger and begin to look like fresh bruises. These bruises then join together to form larger areas of purple skin damage and discoloration.

How long can you have sepsis before it kills you?

Warning as sepsis can kill in 12 hours. Sepsis is a bigger killer than heart attacks, lung cancer or breast cancer. Sepsis is a bigger killer than heart attacks, lung cancer or breast cancer. The blood infection is a fast killer too.

Related Archive

More in business